Medical Encyclopedia

Medical Encyclopedia

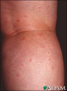
Insect bites on the legs

Insect bites on the legs

Insect bites may be grouped, raised (papular), hive-like (urticarial) and have a surrounding halo. Occasionally a central depression, or punctum, can be seen.

Update Date: 2/19/2008

Updated by: John E. Duldner, Jr., MD, MS, Assistant Professor of Emergency Medicine, Director of Research, Department of Emergency Medicine, Akron General Medical Center and Northeastern Ohio Universities College of Medicine. Review provided by VeriMed Healthcare Network. Also reviewed by David Zieve, MD, MHA, Medical Director, A.D.A.M., Inc.

A.D.A.M. Logo

The information provided herein should not be used during any medical emergency or for the diagnosis or treatment of any medical condition. A licensed physician should be consulted for diagnosis and treatment of any and all medical conditions. Call 911 for all medical emergencies. Links to other sites are provided for information only -- they do not constitute endorsements of those other sites. Copyright 1997-2009, A.D.A.M., Inc. Any duplication or distribution of the information contained herein is strictly prohibited.