Medical Encyclopedia

Medical Encyclopedia

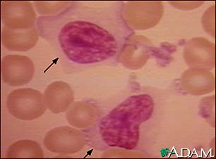
Mononucleosis, photomicrograph of cell

Mononucleosis, photomicrograph of cell

This picture shows large, atypical lymphocytes (white blood cells). These cells are seen in viral infections, most commonly caused by the Epstein-Barr virus (infectious mononucleosis), cytomegalovirus diseases, and occasionally infectious hepatitis. This is an example of a type I Downy cell.

Update Date: 9/17/2008

Updated by: David C. Dugdale, III, MD, Professor of Medicine, Division of General Medicine, Department of Medicine. University of Washington School of Medicine; and Jatin M. Vyas, PhD, MD, Instructor in Medicine, Harvard Medical School, Assistant in Medicine, Division of Infectious Disease, Massachusetts General Hospital. Also reviewed by David Zieve, MD, MHA, Medical Director, A.D.A.M., Inc.

A.D.A.M. Logo

The information provided herein should not be used during any medical emergency or for the diagnosis or treatment of any medical condition. A licensed physician should be consulted for diagnosis and treatment of any and all medical conditions. Call 911 for all medical emergencies. Links to other sites are provided for information only -- they do not constitute endorsements of those other sites. Copyright 1997-2009, A.D.A.M., Inc. Any duplication or distribution of the information contained herein is strictly prohibited.