Medical Encyclopedia

Medical Encyclopedia

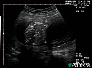
Ultrasound, normal fetus - abdomen measurements

Ultrasound, normal fetus - abdomen measurements

This is a normal fetal ultrasound performed at 19 weeks gestation. Many health care providers like to have fetal measurements to verify the size of the fetus and to look for any abnormalities. This ultrasound is of an abdominal measurement. It shows a cross-section of the abdomen, and the measurements are indicated by the cross hairs and dotted lines.

Update Date: 1/24/2008

Updated by: Benjamin Taragin, M.D., Adjunct Professor of Radiology, Columbia Presbyterian School of Medicine, New York, NY, and Attending Radiologist, St. Joseph's Hospital, Paterson, NJ. Review provided by VeriMed Healthcare Network. Also reviewed by David Zieve, MD, MHA, Medical Director, A.D.A.M., Inc.

A.D.A.M. Logo

The information provided herein should not be used during any medical emergency or for the diagnosis or treatment of any medical condition. A licensed physician should be consulted for diagnosis and treatment of any and all medical conditions. Call 911 for all medical emergencies. Links to other sites are provided for information only -- they do not constitute endorsements of those other sites. Copyright 1997-2009, A.D.A.M., Inc. Any duplication or distribution of the information contained herein is strictly prohibited.