Medical Encyclopedia

Medical Encyclopedia

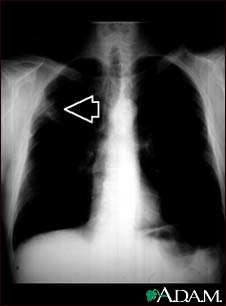
Lung mass, right upper lung - chest X-ray

Lung mass, right upper lung - chest X-ray

This picture is a chest x-ray of a person with a lung mass. This is a front view, where the lungs are the two dark areas and the heart and other structures are visible in the middle of the chest. The x-ray shows a mass in the right upper lung, indicated with the arrow (seen on the left side of the picture).

Update Date: 8/29/2008

Updated by: Sean O. Stitham, MD, private practice in Internal Medicine, Seattle, WA; Benjamin Medoff, MD, Assistant Professor of Medicine, Harvard Medical School, Pulmonary and Critical Care Unit, Massachusetts General Hospital. Also reviewed by David Zieve, MD, MHA, Medical Director, A.D.A.M., Inc.

A.D.A.M. Logo

The information provided herein should not be used during any medical emergency or for the diagnosis or treatment of any medical condition. A licensed physician should be consulted for diagnosis and treatment of any and all medical conditions. Call 911 for all medical emergencies. Links to other sites are provided for information only -- they do not constitute endorsements of those other sites. Copyright 1997-2009, A.D.A.M., Inc. Any duplication or distribution of the information contained herein is strictly prohibited.