Medical Encyclopedia

Medical Encyclopedia

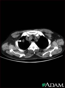
Pulmonary nodule, solitary - CT scan

Pulmonary nodule, solitary - CT scan

This CT scan shows a single lesion (pulmonary nodule) in the left lung. This nodule is seen as the light circle in the upper portion of the dark area on the left side of the picture. A normal lung would look completely black in a CT scan.

Update Date: 9/17/2008

Updated by: David C. Dugdale, III, MD, Professor of Medicine, Division of General Medicine, Department of Medicine, University of Washington School of Medicine; and Jatin M. Vyas, PhD, MD, Instructor in Medicine, Harvard Medical School, Assistant in Medicine, Division of Infectious Disease, Massachusetts General Hospital. Also reviewed by David Zieve, MD, MHA, Medical Director, A.D.A.M., Inc.

A.D.A.M. Logo

The information provided herein should not be used during any medical emergency or for the diagnosis or treatment of any medical condition. A licensed physician should be consulted for diagnosis and treatment of any and all medical conditions. Call 911 for all medical emergencies. Links to other sites are provided for information only -- they do not constitute endorsements of those other sites. Copyright 1997-2009, A.D.A.M., Inc. Any duplication or distribution of the information contained herein is strictly prohibited.