Medical Encyclopedia

Medical Encyclopedia

Thalassemia major

Thalassemia major

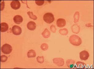
Thalassemia major is an inherited form of hemolytic anemia, characterized by red blood cell (hemoglobin) production abnormalities. This is the most severe form of anemia, and the oxygen depletion in the body becomes apparent within the first 6 months of life. If left untreated, death usually results within a few years. Note the small, pale (hypochromic), abnormally-shaped red blood cells associated with thalassemia major. The darker cells likely represent normal RBCs from a blood transfusion.

Update Date: 8/13/2008

Updated by: A.D.A.M. Editorial Team: David Zieve, MD, MHA, Greg Juhn, MTPW, David R. Eltz. Previously reviewed by William Matsui, MD, Assistant Professor of Oncology, Division of Hematologic Malignancies, The Sidney Kimmel Comprehensive Cancer Center at Johns Hopkins, Baltimore, MD. Review provided by VeriMed Healthcare Network (10/30/2006).

A.D.A.M. Logo

The information provided herein should not be used during any medical emergency or for the diagnosis or treatment of any medical condition. A licensed physician should be consulted for diagnosis and treatment of any and all medical conditions. Call 911 for all medical emergencies. Links to other sites are provided for information only -- they do not constitute endorsements of those other sites. Copyright 1997-2009, A.D.A.M., Inc. Any duplication or distribution of the information contained herein is strictly prohibited.