Medical Encyclopedia

Medical Encyclopedia

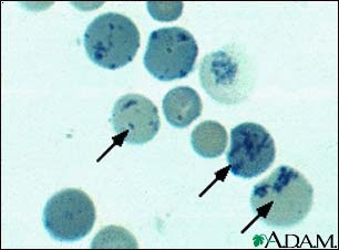
Reticulocytes

Reticulocytes

In the presence of some anemias, the body increases production of red blood cells (RBCs), and sends these cells into the bloodstream before they are mature. These slightly immature cells are called reticulocytes, and are characterized by a network of filaments and granules. Reticulocytes normally make up 1% of the total RBC count, but may exceed levels of 4% when compensating for anemia.

Update Date: 6/10/2008

Updated by: James R. Mason, MD, Oncologist, Director, Blood and Marrow Transplantation Program and Stem Cell Processing Lab, Scripps Clinic, Torrey Pines, California. Also reviewed by David Zieve, MD, MHA, Medical Director, A.D.A.M., Inc.

A.D.A.M. Logo

The information provided herein should not be used during any medical emergency or for the diagnosis or treatment of any medical condition. A licensed physician should be consulted for diagnosis and treatment of any and all medical conditions. Call 911 for all medical emergencies. Links to other sites are provided for information only -- they do not constitute endorsements of those other sites. Copyright 1997-2009, A.D.A.M., Inc. Any duplication or distribution of the information contained herein is strictly prohibited.