Medical Encyclopedia

Medical Encyclopedia

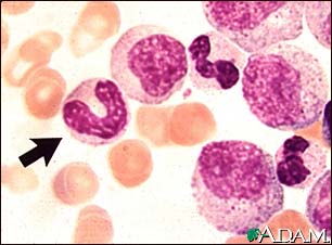
Chronic myelocytic leukemia - microscopic view

Chronic myelocytic leukemia - microscopic view

This high-power microscopic view of a blood smear from a person with classical CML shows predominantly normal-appearing cells with intermediate maturity.

Update Date: 5/3/2006

Updated by: Michael C. Milone, M.D., Ph.D., Department of Pathology and Laboratory Medicine, University of Pennsylvania Medical Center, Philadelphia, PA.

A.D.A.M. Logo

The information provided herein should not be used during any medical emergency or for the diagnosis or treatment of any medical condition. A licensed physician should be consulted for diagnosis and treatment of any and all medical conditions. Call 911 for all medical emergencies. Links to other sites are provided for information only -- they do not constitute endorsements of those other sites. Copyright 1997-2009, A.D.A.M., Inc. Any duplication or distribution of the information contained herein is strictly prohibited.