Medical Encyclopedia

Medical Encyclopedia

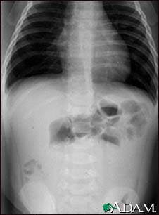
Intussusception - X-ray

Intussusception - X-ray

This abdominal x-ray shows an intestinal condition in which a loop of bowel has slipped into another section of bowel (intussusception), causing swelling, reduced blood flow, obstruction, and tissue damage. Intussusception requires emergency treatment (barium enema or surgery) to prevent intestinal tissue death (necrosis), intestinal perforation, peritonitis, and death.

Update Date: 7/23/2008

Updated by: Jacob L. Heller, MD, Emergency Medicine, Virginia Mason Medical Center, Seattle, Washington, Clinic. Also reviewed by David Zieve, MD, MHA, Medical Director, A.D.A.M., Inc.

A.D.A.M. Logo

The information provided herein should not be used during any medical emergency or for the diagnosis or treatment of any medical condition. A licensed physician should be consulted for diagnosis and treatment of any and all medical conditions. Call 911 for all medical emergencies. Links to other sites are provided for information only -- they do not constitute endorsements of those other sites. Copyright 1997-2009, A.D.A.M., Inc. Any duplication or distribution of the information contained herein is strictly prohibited.