Medical Encyclopedia

Medical Encyclopedia

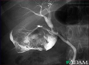
Cholecystitis, cholangiogram

Cholecystitis, cholangiogram

Cholelithiasis can be seen on a cholangiogram. Radio-opaque dye is used to enhance the x-ray. Multiple stones are present in the gallbladder (PTCA).

Update Date: 6/3/2008

Updated by: Linda Vorvick, MD, Seattle Site Coordinator, Lecturer, Pathophysiology, MEDEX Northwest Division of Physician Assistant Studies, University of Washington School of Medicine. Also reviewed by David Zieve, MD, MHA, Medical Director, A.D.A.M., Inc.

A.D.A.M. Logo

The information provided herein should not be used during any medical emergency or for the diagnosis or treatment of any medical condition. A licensed physician should be consulted for diagnosis and treatment of any and all medical conditions. Call 911 for all medical emergencies. Links to other sites are provided for information only -- they do not constitute endorsements of those other sites. Copyright 1997-2009, A.D.A.M., Inc. Any duplication or distribution of the information contained herein is strictly prohibited.